Child and Adolescent Psychiatry
Research Focus
General Facts
Research
Selected Publications
Collaborations
Keywords: Personality disorders, Attachment, Hometreatment, COVID-19, Gender Dysphoria, Psychotherapy Research, Social Media Use
Research (ÖSTAT Classification): 302036, 501005,501009,501010
Research Focus
- Personality disorders: Assessment, treatment
- Attachment: Attachment Trauma, children, adolescents, parents, Biomarkers, fMRI
- COVID-19: Longitudinal studies
- Psychotherapy Research: Hometreatment, attachment-based treatment, transference-focused psychotherapy for Borderline, Video-feedback, yoga intervention for eating disorders
- Gender dysphoria: Assessment and intervention
General Facts
For clinical routine and research in detail see our homepage.
Research
Our research focuses on the study of attachment and its clinical applications during childhood and adolescence. We also identify the strengths of children and young people and build on them, especially in the context of the corona crisis. We apply a framework that includes the latest findings on affective, biological and developmental contributors to psychopathology. This allows us to derive novel intervention approaches for patients and their families.
Attachment studies
Gander Manuela and Kathrin Sevecke in cooperation with the University of Innsbruck (Anna Buchheim) and the Department of Radiology of the Medical University of Innsbruck (Elke R. Gizewski)
In our research, we investigate the associations between attachment, personality pathology, non-suicidal self-injury (NSSI), and suicide risk in adolescents. Using functional magnetic resonance imaging (fMRI) and biomarker analyses, we aim to identify neurobiological correlates of attachment, focusing on alterations in emotion regulation networks and stress-response systems. Building on these insights, we evaluate attachment-based treatments designed to strengthen emotional security and interpersonal functioning, with the goal of improving outcomes for adolescents at elevated risk.
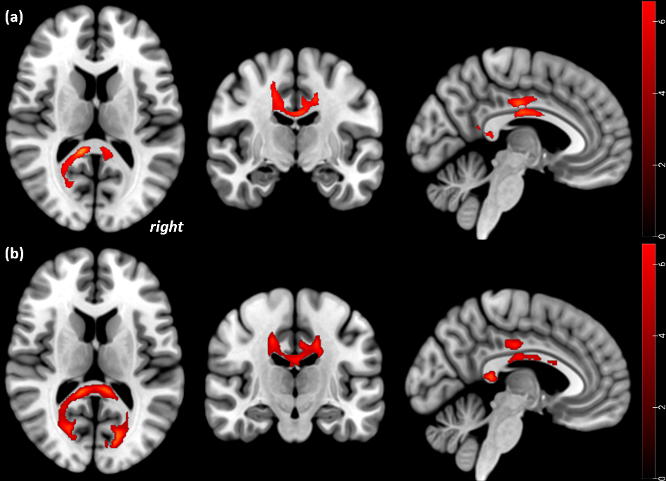
Attachment trauma becomes apparent in region-specific white matter alterations in adolescent patients with Anorexia Nervosa before and after treatment


Fig. 1:Statistical parametric mapping (t) intensity projection maps rendered onto a stereotactically normalized MRI scan, voxel cluster of the significant FA alterations in AN (statistical significance is thresholded at p < 0.001, FWE p < 0.05 corrected at the cluster level). FA decreases in acute AN patients with attachment trauma relative to HC at Tp1 (a), and at Tp2 (b). The right side of the image corresponds to the right side of the brain (Gander et al., 2023)
Psychotherapy research
We are currently evaluating innovative interventions within our clinical setting, including the VIPP program at the parent–child ward, attachment-based treatments for both in- and outpatient adolescents, and home treatment approaches designed to support continuity of care. Additional initiatives include a yoga intervention for adolescents with eating disorders and a specialized unit dedicated to adolescents with gender dysphoria. We have also piloted the use of digital narratives with children and adolescents to foster self-expression and therapeutic engagement. Furthermore, we are actively involved in studies on transference-focused psychotherapy for adolescents and young adults with Borderline Personality Disorder, aiming to advance evidence-based care in this high-risk population.
COVID-19
Silvia Exenberger-Vanham, Kathrin Sevecke
This study examines anxiety, stress, trauma symptoms, and health-related quality of life in children aged 3 to 12 from North and South Tyrol. Across multiple survey waves, parents and children (from age eight) complete online questionnaires, with parents also responding to open-ended questions on both positive changes and negative impacts following stressful events. To capture perspectives beyond standardized measures, focus groups with educators from North Tyrolean schools and kindergartens were held in spring 2021. Drawing on data from children, parents, and pedagogues, the project aims to develop a screening tool for the early detection of psychological distress in children.
Selected international publications
- Lenhart, L., Gander, M., Steiger, R., Dabkowska-Mika, A., Galijasevic, M., Mangesius, S., Fuchs, M., Sevecke, K., & Gizewski, E. R. (2025). Mapping the mind: Gray matter signatures of personality pathology in female adolescent anorexia nervosa persist through treatment. Journal of Clinical Medicine, 14(15), 5438. https://doi.org/10.3390/jcm14155438
- Gander, M., Buchheim, A., Kohlböck, G. & Sevecke, K. (2025). Unresolved attachment and identity diffusion in adolescence. Development and Psychopathology, 37(1), 429-438. doi: 10.1017/S0954579424000014
- Leonhardt, A., Fuchs, M., Kohlböck, G., Sevecke, K. & Gander, M. (2025). Psychosocial and psychopathological profiles of gender dysphoric adolescents: A cluster analysis approach. Archives of Sexual Behavior (in press).
- Kohlboeck, G., Wenter, A., Sevecke, K. Exenberger, S. (2023). Differences in perceived threat and trauma in children during the COVID-19 pandemic. Child Adolesc Psychiatry Ment Health, 17, 83. doi: 10.1186/s13034-023-00628-5.
- Pfitscher, G., Taferner, C., Marketz, C., Sevecke, K., & Exenberger, S.* (accepted). Children’s posttraumatic growth in the aftermath of the Covid-19 pandemic in Austria: a mixed methods study. Journal of Happiness Studies.
- Gander, M., Buchheim, A. & Sevecke, K. (2024). Personality disorders and attachment trauma in adolescent patients with psychiatric disorders. Research in Child and Adolescent Psychopathology, 52(3), 457-471. doi: 10.1007/s10802-023-01141-1
- Jahnke-Majorkovits, A.-C., Fauth, C., Gander, M. & Sevecke, K. (2024). Treatment of psychiatric comorbidities and interaction in Coffin-Syris syndrome: A case-report of a 4-year old girl. Clinical Case Reports, 12, 1-5. doi:10.1002/ccr3.8230
- Gander, M., Lenhart, L., Steiger, R., Buchheim, A., Mangesius, S., Birkl, C., Haid-Stecher, N., Fuchs, M., Libal, A., Dabkowska-Mika, A., Gizewski, R. & Sevecke, K. (2023). Attachment trauma is associated with white matter fiber microstructural alterations in adolescents with Anorexia Nervosa before and after exposure to psychotherapeutic and nutritional treatment. Brain Sciences, 13 (5), 7. doi: 10.3390/brainsci13050798
- Dabkowska-Mika, A., Steiger, R., Gander, M., Haid-Stecher, N., Fuchs, M., Sevecke, K. & Gizewski, E. R. (2023). Evaluation of visual food stimuli paradigms on healthy adolescents for future use in fMRI studies in anorexia nervosa. Journal of Eating Disorders, 11(1), 35. doi: 10.1186/s40337-023-00761-8
- Wenter, A., Schickl, M., Sevecke, K., Juen, B., & Exenberger, S. (2022). Children’s mental health during the first two years of the COVID-19 pandemic: Burden, risk factors and posttraumatic growth – A mixed-methods parents’ perspective. Frontiers in Psychology, 13, 901205. https://doi.org/10.3389/fpsyg.2022.901205
- Lenhart, L., Gander, M., Steiger, R., Dabkowska-Mika, A., Mangesius, S., Haid-Stecher, N., Fuchs, M., Buchheim, A., Sevecke, K. & Gizewski, E.R. (2022). Attachment status is associated with grey matter recovery in adolescent anorexia nervosa: Findings from a longitudinal study. European Journal of Neuroscience, 55(5), 1373-1387. doi: 10.1111/ejn.15614
- Gander, M., Fuchs, M., Franz, N., Jahnke-Majorkovits, A.C., Buchheim, A., Bock, A. & Sevecke, K. (2021). Non-suicidal self-injury and attachment trauma in adolescent inpatients with psychiatric disorders. Comprehensive Psychiatry, 111: 152273. doi: 10.1016/j.comppsych.2021.152273
- Gander, M., Buchheim, A., Bock, A., Steppan, M., Sevecke, K. & Goth, K. (2020). Unresolved attachment mediates the relationship between childhood trauma and impaired personality functioning in adolescence. Journal of Personality Disorders, 34, 84-103. doi: 10.1521/pedi_2020_34_468
- Gander, M., Sevecke, K. & Buchheim, A. (2018). Disorder-specific attachment characteristics and experiences of childhood abuse and neglect in adolescents with anorexia nervosa and a major depressive episode. Clinical Psychology and Psychotherapy, 25, 894-906. doi: 10.1002/cpp.2324
Collaborations
- Univ.-Prof. Dr. Isabel Böge, Department of Child and Adolescent Psychiatry, Medical University of Graz
- Univ.-Prof. Dr. Klaus Schmeck & Dr. Kirstin Goth, University Clinic Basel, Switzerland
- Luisa Fassi, MRC Cognition and Brain Sciences Unit, Department of Psychiatry, University of Cambridge
- Univ.-Prof. Dr. Anna Buchheim, Institute of Psychology, University of Innsbruck, Austria
- Univ.-Prof. Dr. Barbara Juen, Institute of Psychology, University of Innsbruck, Austria
- Univ.-Prof. Dr. Andreas Karwautz, Department of Child and Adolescent Psychhiatry, Medical University of Vienna, Austria
- Univ.-Prof. Dr. Martin Kopp and Ao. Univ.-Prof. Dr. Christian Raschner, Institute of Sport Science, University of Innsbruck, Austria
- Univ.-Prof. Dr. Klaus Schmeck & Dr. Kirstin Goth, University Clinic Basel, Switzerland
- Univ.-Prof. Dr. Suzanne Kapelari, Faculty of Teacher Education, University of Innsbruck, Austria
- Dr. Marije Stoltenborgh, Instituut Pedagogische Wetenschappen, University of Leiden, Netherlands
Staff
Director:
Univ.-Prof. Dr. Kathrin Sevecke
Senior Researchers:
Ass.-Prof. Priv.-Doz. Manuela Gander (MUI, manuela.gander@i-med.ac.at ), PhD, Priv.-Doz. Dr. Silvia Exenberger-Vanham (tirol kliniken), Ann-Christin Jahnke-Majorkovits, PhD (tirol kliniken), Dr. Martin Fuchs (tirol kliniken)
PhD students:
Andre Leonhardt, Msc (MUI), Stefan Kranholdt, Msc (MUI), Laura Migl, Msc (MUI), Christina Taferner, Msc (tirol kliniken)
Administration:
Lisa Juen
Univ.-Prof.in Dr.in med. Kathrin Sevecke
Director
Contact:
Anichstraße 35,
6020 Innsbruck, Austria
E-mail: kathrin.sevecke@i-med.ac.at
Phone: +43 512 504 33801
Zur Klinik-Webseite



