Gemeinsame Medieninformation der tirol kliniken und der Medizinischen Universität Innsbruck
Neue radiologische Daten aus der Tiroler COVID-19 Langzeitstudie CovILD
COVID-19 und das Risiko für anhaltende Lungenveränderungen
Männlich, über 60 Jahre alt, kritischer COVID-19 Verlauf mit Beatmung: Das sind die Faktoren, die das Risiko signifikant erhöhen, auch ein Jahr nach Entlassung aus dem Krankenhaus noch sichtbare Veränderungen des Lungengewebes aufzuweisen. Zu diesem Ergebnis kommen Tiroler Radiolog:innen anhand von CT-Untersuchungen, die im Rahmen der Langzeitstudie CovILD durchgeführt wurden.
Pressebilder frei zum Download: ©Univ.-Klinik für Radiologie Innsbruck
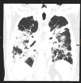
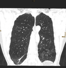
BU: CT Thorax eines Teilnehmers während des stationären Aufenthalts (Bild links) und nach einem Jahr (Bild rechts) im Vergleich. Die initial ausgeprägten Gewebsvermehrungen sind deutlich rückläufig, jedoch zeigen sich residuell noch feine lineare Verdichtungen in beiden Unterlappen.
Innsbruck, am 11.04.2022: Seit 2020 untersucht ein interdisziplinäres Team aus den Bereichen Pneumologie (Initiatoren), Infektiologie, Neurologie und Radiologie an der Medizinischen Universität Innsbruck in der prospektiven, multizentrischen Studie CovILD mögliche Folgeschäden nach einer schwer verlaufenen SARS-CoV-2 Infektion.
Eine aktuelle, kürzlich im angesehenen Fachjournal Radiology veröffentlichte Ein-Jahres-Folgestudie des Teams um den Radiologen Gerlig Widmann liefert nun neue Erkenntnisse zum Verlauf von Lungenveränderungen in der Computertomographie (CT) nach COVID-19. „In unserer viergeteilten Kohorte* betreffend den Schweregrad des initialen Verlaufes waren bei mehr als der Hälfte der Teilnehmer:innen auch noch zwölf Monate nach Krankenhausentlassung subtile Veränderungen im CT nachweisbar. Auch wenn eine Mehrheit dieses Anteils zumindest schwer erkrankt war, sind wir von diesem Ergebnis doch ein wenig überrascht. Der über 60-jährige männliche Patient mit kritischem Krankheitsverlauf trägt unseren Untersuchungen zufolge jedenfalls das größte Risiko, auch ein Jahr nach Covid-19 noch Lungenveränderungen im CT zu zeigen“, erklärt Radiologin und Erstautorin Anna Luger. Insgesamt wurden vier CT-Verlaufskontrollen der Lunge durchgeführt, von anfangs 142 Proband:innen konnten nach einem Jahr noch 91 Teilnehmer:innen in die Studie eingeschlossen werden.
Im Detail zeigten 34 Prozent der Teilnehmer:innen oberflächennahe netzartige Verdichtungen der Lunge, geringe Milchglastrübungen oder beides, bei 20 Prozent der Teilnehmer:innen waren ausgedehnte Milchglastrübungen, oberflächennahe netzartige Verdichtungen, Bronchialerweiterungen und mikrozystische Veränderungen feststellbar, die eventuell auf Vernarbungsprozesse hindeuten. „Aus radiologischer Sicht lässt sich noch nicht abschätzen, wie sich diese strukturellen Lungenveränderungen zeitlich weiter verhalten“, so der Leiter der Radiologie in der interdisziplinären Studiengruppe, Gerlig Widmann. Drei Szenarien seien jedoch vorstellbar: Die Veränderungen bilden sich langsam vollständig zurück, die Veränderungen halten an und es entwickeln sich stabile Vernarbungen, oder das Lungengewebe wird zunehmend fibrotisch (Bindegewebsvermehrung) und es kommt begleitend zu kontinuierlich zunehmenden klinischen Symptomen. „In jedem Fall“, so Widmann, „werden wir den Verlauf gemeinsam mit unseren klinischen Partnern weiter wissenschaftlich begleiten“.
Aus Langzeitstudien zur SARS-Pandemie im Jahr 2003 mit SARS-CoV-1 ist bekannt, dass im CT auch noch 15 Jahre nach Erkrankung Veränderungen des Lungengewebes festzustellen sind. Angesichts der gesundheitspolitischen Relevanz einer Post-COVID Erkrankung zeigen die bisherigen Daten aus Innsbruck mit der ersten systematisch wissenschaftlich untersuchten COVID-19 Kohorte in Österreich, dass eine langfristige klinische und radiologische Nachsorge von Patient:innen mit anhaltenden Lungenveränderungen im CT notwendig ist, um mehr über den klinischen Verlauf und potentielle Folgeerscheinungen herauszufinden.
*) Gruppe 1: milder Verlauf mit ambulanter Behandlung (21%), Gruppe 2: moderater Verlauf mit stationärer Behandlung ohne Sauerstoffgabe (25%), Gruppe 3: schwerer Verlauf mit stationärer Behandlung und Sauerstoffgabe (25%), Gruppe 4: kritischer Verlauf mit intensivmedizinischer Behandlung und Beatmung (29%).
Zu den Personen:
Der Innsbrucker Gerlig Widmann hat sich nach Abschluss des Medizinstudiums an der Medizinischen Universität Innsbruck habilitiert und ein Studium der Gesundheitswissenschaften absolviert. Der Bereichsleiter der Sektion Computertomographie und geschäftsführende Oberarzt an der Univ.-Klinik für Radiologie leitet die klinischen Schwerpunkte Kopf-Hals Radiologie, Thorax Radiologie und Onkologische Radiologie und forscht zu Künstlicher Intelligenz basierter Texturanalyse von Lungenerkrankungen, Radiomics und Low dose imaging.
Die gebürtige Münchnerin Anna Luger hat an der Medizinischen Universität Innsbruck Medizin studiert. Die Forschungsschwerpunkte der Fachärztin für Radiologie und Expertin für Thorax Radiologie liegen in den Bereichen Lungeninfektionen, COPD und interstitielle Lungenerkrankungen.
Forschungsarbeit: CT of Lung Injury 1 Year after COVID-19 Pneumonia: The CovILD Study.
https://doi.org/10.1148/radiol.211670
PR & Medien
Medienkontakt:
Doris Heidegger
Public Relations & Medien
Medizinische Universität Innsbruck
Telefon: +43 512 9003 70083
E-Mail: public-relations@i-med.ac.at

